Announcements
This ISC2 Community will be decommissioned as of May 29, 2026. Please join your peers and connect with your chapter at https://isc2chapters.isc2.org.
cancel
Showing results for 
Show  only  | Search instead for 
Did you mean: 
cancel
Showing results for 
Show  only  | Search instead for 
Did you mean: 
rslade
Influencer II

Oh, yeah? Well, iris scan *this* ...

 

D30rbsfXkAAfVR9

 


............

Other posts: https://community.isc2.org/t5/forums/recentpostspage/user-id/1324864413

This message may or may not be governed by the terms of
http://www.noticebored.com/html/cisspforumfaq.html#Friday or
https://blogs.securiteam.com/index.php/archives/1468
3 Replies
rslade
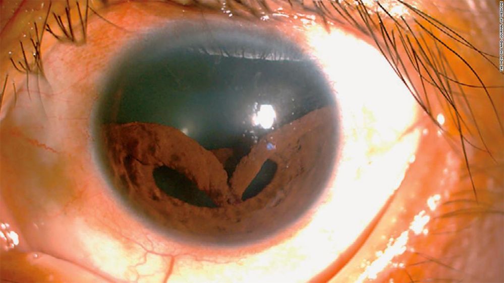
Influencer II

A man was strapping goods onto a motorcycle when the rubber bungee cord he was using struck him directly in the eye, leaving him with a uniquely deformed iris ...


............

Other posts: https://community.isc2.org/t5/forums/recentpostspage/user-id/1324864413

This message may or may not be governed by the terms of
http://www.noticebored.com/html/cisspforumfaq.html#Friday or
https://blogs.securiteam.com/index.php/archives/1468
Beads
Advocate I

First and foremost - OUCH!

 

Second because of the peculiar deformity have iris scans now added blood flow detection to avoid the amputation gimmick often seen in Sci-fi films.

CISOScott
Community Champion

 I've had enough of those close calls that my wife won't be around me if I am strapping something down! LOL!

 

Or cutting down trees....

 

Or carrying said branches of cut down trees....